Trouver une clinique vétérinaire à Le Revest-les-Eaux près de La Valette-du-Var

Contactez-nous
Les champs indiqués par un astérisque (*) sont obligatoires
Nos solutions pour transporter un lapin chez le vétérinaire sans stress

Nos solutions pour transporter un lapin chez le vétérinaire sans stress

Pour garantir un transport sans stress d’un lapin lors d’une consultation vétérinaire, il est recommandé d’anticiper plusieurs étapes clés : habituer l’animal à sa caisse, choisir un moyen de transport adapté et prendre en compte les besoins spécif...
En savoir plus
pourquoi stériliser sa chienne

Pourquoi stériliser sa chienne à Toulon par la clinique Du Las à Toulon ?

La stérilisation de la chienne est une opération dite de convenance qui consiste à retirer les ovaires afin d'éviter la survenue de chaleurs chez la chienne. Quels sont les raisons de stériliser sa chienne?
En savoir plus
chiot veterinaire toulon

CONSULTATION VETERINAIRE POUR CHIOT ET CHIEN SUR TOULON

Vous êtes propriétaire d’un chiot ou d’un chien adulte , et, vous cherchez un vétérinaire dans l’agglomération de Toulon pour un suivi médical et des  conseils de veterinaire....
En savoir plus

Nos prestations sur le secteur de à Le Revest-les-Eaux près de La Valette-du-Var

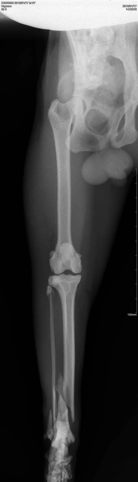
radiographie chat à Toulon

FAIRE UNE RADIOGRAPHIE POUR CHIEN CHAT NAC SUR TOULON

Qu’est-ce qu’une radiographie ?   Une radiographie est un examen d’imagerie consistant à la prise de cliché au moyen d’un appareil à rayon X ceci afin de visualiser les différentes structures internes. Quand effectuer une radiographie ? La radi...
En savoir plus
chat toulon

CONSULTATION VETERINAIRE POUR CHAT ET CHATON SUR TOULON

Vous possédez un chaton, un chat adulte ou âgés , et, vous cherchez un vétérinaire aux alentours de Toulon pour un suivi médical et des conseils. La clinique vétérinaire du Las vous propose...
En savoir plus

Notre zone d'activité pour ce service Trouver une clinique vétérinaire à Le Revest-les-Eaux près de La Valette-du-Var

vétérinaire pour cochon d'inde nac à la seyne sur mer dans le var

Prendre soin de votre cochon d'Inde à La Seyne-sur-Mer 83500 : vos 4 conseils vétérinaires essentiels

Si vous êtes l'heureux propriétaire d'un adorable cochon d'Inde à La Seyne-sur-Mer 83500, vous savez à quel point ces petites boules de poils peuvent être adorables et attachantes. En tant que responsable de leur bien-être, il est crucial de veill...
En savoir plus
Votre chat grandi et vous souhaitez le faire stériliser rapidement ? Vous désirez être reçu en consultation vétérinaire car votre chien est faible ? Entrez en contact avec la Clinique Vétérinaire du Las pour bénéficier d'un suivi médical dans les meilleurs délais.
 
La Clinique Vétérinaire du Las vous accueille pour tout soin médical, besoin d'hospitalisation animale, conseils ou pour l'achat de produits de qualité pour l'alimentation de votre animal de compagnie/NAC. 

Vous cherchez un traitement vétérinaire contre la leishmaniose à Le Revest-les-Eaux près de La Valette-du-Var ? Votre chien a des problèmes de peau ? Demandez un rendez-vous à la Clinique Vétérinaire du Las. L'équipe est à votre service du lundi au samedi et sans rendez-vous l'après-midi !
Besoin de plus d'informations ?
Nous sommes à votre disposition pour toute demande
Ouvert 6/7j
Savoir-faire depuis plus de 50 ans
Parking offert